メインコンテンツに移動
サイト内検索
教員検索
検索
close
CLOSE
search
menu
グローバルナビゲーション
京大について
総長からのメッセージ
理念・沿革・運営・将来構想
大学評価
データから見る京都大学
役員等・組織・諸規程
栄誉等
キャンパス・施設案内
広報活動
調達情報
法人としての取組
ダイバーシティ推進について
公表事項
情報公開
世界から見た京都大学
入試・高大連携
一般選抜
特色入試
その他の学部入学試験
留学生のための入試
大学院入試
入学者選抜における合理的配慮について
入学検定料について
京都大学受験生ナビゲーション
オープンキャンパス
高大連携
女子高生へのメッセージ
大学案内冊子「知と自由への誘い」
関連情報
教育・学生支援
教育の体制と内容
経済支援
海外留学を希望する京大生へ
大学行事
課外活動支援
学生表彰など
学生相談・障害学生支援・就職
キャンパスライフ支援
学生支援の窓口・証明書発行など
学生支援の情報発信
京都大学に在籍する留学生の方へ
研究・産官学連携
研究活動を知る
研究成果の公開ポリシー
産官学連携(共同研究・知的財産・ベンチャー支援)
京都大学に寄附する
京都大学で研究したい
研究支援体制について
研究者が受けられる研究費・研究支援
研究上の倫理・安全
教職員に兼業を依頼したい
国際交流
世界とつながる京都大学
京都大学への留学を希望する方へ
国際化を支える学内組織
外国人研究者へのサポート
海外留学を希望する京大生へ
社会連携
公開講座・講演会等
京大の研究・教育を知る
社会人向け教育
教育・研究に関する情報・資料公開
産官学・地域等との連携
京大とのつながりを深める
社会に開かれた施設等
終了した全学的なイベント
学部・大学院等
ヘッダー プライマリーリンク
受験生
在学生
卒業生
一般・地域
企業・研究者
ヘッダー セカンダリーリンク
イベント
アクセス
大学施設案内
刊行物・資料請求
採用情報
寄附
Language
日本語 ホーム
English Home
中文简体 首页
中文繁体 首頁
한국어 홈페이지
パンくず
ホーム
最新の研究成果を知る
最新の研究成果を知る
研究成果
公開日
2018年06月15日
普通ソバの収量性改良へのゲノミックセレクションの実証-DNAの情報を用いて、他殖性作物の高速育種に貢献-
研究成果
公開日
2018年06月13日
遺伝子ネットワークを制御してさまざまな種類の細胞を作り出す ―数学的理論に基づく細胞運命の制御に成功―
研究成果
公開日
2018年06月11日
「マルチキャリア変調信号を用いた広帯域アンテナ近傍界高速測定システム」の開発に成功-従来と比較して100倍程度高速に広帯域アンテナの指向性の周波数特性を測定-
研究成果
公開日
2018年06月08日
ボノボが「嫌悪感」によって汚れた食物を避ける行動を解明しました
研究成果
公開日
2018年06月07日
1細胞RNA分画解読法の開発に成功 -細胞生物学の研究を加速-
研究成果
公開日
2018年06月06日
がんの個別化医療を可能にする患者がん由来の鶏卵モデル
研究成果
公開日
2018年06月04日
ヒトiPS細胞由来T細胞に遺伝子を導入すると、ヘルパーT細胞様の機能を獲得することを発見しました
研究成果
公開日
2018年06月02日
失敗から成功を生み出す必要条件を提示 -教育現場で失敗を成果につなげた15のケース-
研究成果
公開日
2018年06月01日
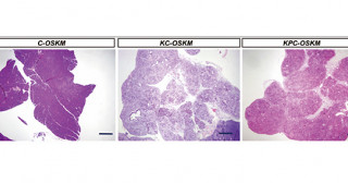
膵臓がんが発生する新たなメカニズムを解明 -遺伝子変異とは異なるがんの原因-
研究成果
公開日
2018年05月31日
分子が長距離にわたり細胞骨格線維を安定化する機構を発見-フォルミンファミリーmDia1が回転重合によってアクチン線維のねじれを緩める-
研究成果
公開日
2018年05月31日
中心性漿液性網脈絡膜症に関わる遺伝子変異を発見 -日本人に多い特殊なタイプの加齢黄斑変性の原因も解明-
研究成果
公開日
2018年05月30日
エタノール水溶液から酢酸を合成する触媒系の開発に成功-環境に優しい持続可能な合成手法を確立-
研究成果
公開日
2018年05月29日
「電子液晶」が超伝導に与える影響を直接観測-高温超伝導を理解する手がかり-
研究成果
公開日
2018年05月29日
光による量子コンピュータの実現に大きく迫る手法を開発 -従来の100億倍の誤り耐性-
研究成果
公開日
2018年05月29日
雷雲に隠れた天然の加速器を雷が破壊する瞬間を捉えた -放射線・大気電場・電波による高エネルギー大気現象の観測-
研究成果
公開日
2018年05月29日
筋線維がなぜ長いのかを発見 -筋肉を増強するための新しい治療戦略に期待-
ページ送り
先頭ページ
chevron_left
chevron_left
前ページ
chevron_left
…
ページ
174
ページ
175
ページ
176
ページ
177
カレントページ
178
ページ
179
ページ
180
ページ
181
ページ
182
…
次ページ
chevron_right
最終ページ
chevron_right
chevron_right