皮膚表面で産生されるペプチドのはたらきを発見 -アトピー性皮膚炎、乾癬でも-

ターゲット
公開日

 アトピー性皮膚炎や乾癬などの慢性の皮膚炎では、皮膚表面の「表皮」と、皮膚の免疫細胞との間に悪循環がおこって、炎症が慢性化していると考えられています。

 椛島健治 医学研究科教授、仲野祐里 同研究員、大日輝記 香川大学教授らの研究グループは、理化学研究所等と共同で、C10orf99というペプチドが、これらの皮膚炎で共通して、表皮の体表近くで大量に産生されることを見つけました。さらに、C10orf99ペプチドは皮膚のバリア成分の産生をへらすこと、また、C10orf99ペプチド自体が炎症をおこす作用をもつことを発見しました。

 本研究成果は、2022年2月22日に、国際学術誌「Frontiers in Immunology」に掲載されました。

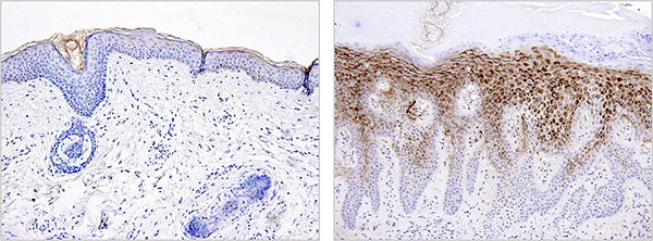
皮膚組織でのC10orf99ペプチドの産生の様子(茶色の色素で染色)。健康な皮膚では目立たない(左)。アトピー性皮膚炎の皮膚では、体表に近い部分でC10orf99ペプチドが大量に産生される(右)。
図:皮膚組織でのC10orf99ペプチドの産生の様子(茶色の色素で染色)。健康な皮膚では目立たない(左)。アトピー性皮膚炎の皮膚では、体表に近い部分でC10orf99ペプチドが大量に産生される(右)。
研究者情報
書誌情報

【DOI】
https://doi.org/10.3389/fimmu.2022.825032

【KURENAIアクセスURL】
http://hdl.handle.net/2433/268045

【書誌情報】
Teruki Dainichi, Yuri Nakano, Hiromi Doi, Satoshi Nakamizo, Saeko
Nakajima, Reiko Matsumoto, Thomas Farkas, Pui Mun Wong, Vipin Narang,
Ricardo Moreno Traspas, Eiryo Kawakami, Emma Guttman-Yassky, Oliver
Dreesen, Thomas Litman, Bruno Reversade, Kenji Kabashima (2022).
C10orf99/GPR15L Regulates Proinflammatory Response of Keratinocytes and
Barrier Formation of the Skin. Frontiers in Immunology, 13:825032.