チンパンジーとヒトの脳梁の発達を比較 -ヒト特有の言語、数概念に関わる神経の成熟は乳児期が鍵-

ターゲット
公開日

酒井朋子 霊長類研究所研究員(現・ジョンズ・ホプキンス大学海外特別研究員)、友永雅己 同教授らの研究グループは、中部学院大学、金沢大学、慶應義塾大学、 ジョンズ・ホプキンス大学 と共同で、世界で初めてチンパンジーの脳梁を真横から見た断面積がどのように発達していくのか、その過程を明らかにしました。調査の結果、ヒトはチンパンジーに比べ、脳梁の上方に位置し行動制御、言語記憶、数概念に関わる脳梁吻側体部(rostral body)が乳児期に大きく成長することが分かりました。一方、脳梁の前方に位置し、注意制御に関わる脳梁吻(rostrum)はヒトよりもチンパンジーの方が子ども期に大きく発達することも明らかとなりました。

本研究成果は、2017年6月27日に米国のオープンアクセス誌「PLOS ONE」に掲載されました。

研究者からのコメント

今回の研究を通して、チンパンジーとヒトの脳梁の発達の違いは、人類進化に伴う脳システムの進化的変化と関連していることが示唆されました。

また、今回の研究では、初めて身体障害を持ったチンパンジーの赤ちゃんの脳データを公表しました。この個体の脳梁発達の推移が、他のチンパンジー赤ちゃんと同程度であったことを検証できたことはもう一つの成果でもあります。

概要

ヒトの脳が生後初期にどのように成長するのかを理解することは、神経科学や人類学の分野では、重要なトピックの一つです。また、ヒトとヒト以外の霊長類における脳構造の発達様式を比較することは、記憶や認知といったヒトの高次脳機能の進化を紐解くうえで欠かせません。そこで本研究では大脳半球を結ぶ神経の束であり、感覚や運動、認知などの多様な神経機能と関連する脳梁の発達を断面積の変化から検証しました。

これまでの研究から、ヒトの場合乳児期に脳梁の断面積が急速に拡大し、それ以降ゆっくりとした変化を示すことが分かっています。一方、チンパンジーの場合は子ども期から老年期にかけて穏やかに変化することは分かっていましたが、乳児期の発達の様子は報告がありませんでした。そのため、ヒトとチンパンジーの脳梁の発達を比較するには生後6歳より幼い個体を対象とした研究を行う必要がありました。

本研究グループは、子どもチンパンジーを対象に、MRIを用いて生後1.8ヶ月から6歳にかけて脳梁の断面積がどのように発達していくのか調べました。その結果、チンパンジーでもヒトと同様に、乳児期を通して脳梁の断面積は2倍から3倍になる急速な成長を見せ、その後ゆっくりと変化することが分かりました。一方で、チンパンジーとヒトにおける大きな違いもあり、脳梁の上方に位置する脳梁吻側体部はチンパンジーよりもヒトの方が大きく増加すること、脳梁の前方に位置する脳梁吻は逆にチンパンジーの方が大きく増加することが分かりました。

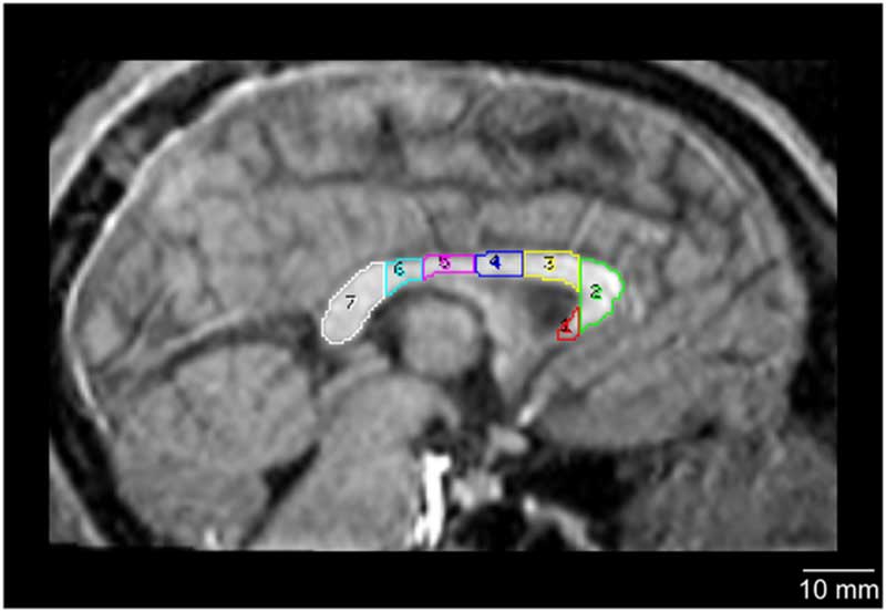
図:右側からみたチンパンジーの脳梁。七つの領域に分かれる。
1(赤)=rostrum、2(緑)=genu、3(黄)=rostral body、4(青)=anterior midbody、5(マジェンダ)=posterior midbody、6(シアン)=isthmus、7(白)=splenium

詳しい研究内容について

書誌情報

【DOI】 https://doi.org/10.1371/journal.pone.0179624

【KURENAIアクセスURL】 http://hdl.handle.net/2433/226440

Tomoko Sakai, Akichika Mikami, Juri Suzuki, Takako Miyabe-Nishiwaki, Mie Matsui, Masaki Tomonaga, Yuzuru Hamada, Tetsuro Matsuzawa, Hideyuki Okano, Kenichi Oishi (2017). Developmental trajectory of the corpus callosum from infancy to the juvenile stage: Comparative MRI between chimpanzees and humans. PLOS ONE, 12(6), e0179624.