センダイウイルスベクターを用いてES細胞/iPS細胞から脊髄運動ニューロンを簡便に作製する技術開発

ターゲット
公開日

後藤和也 医学研究科博士課程学生、今村恵子 iPS細胞研究所(CiRA=サイラ)助教、井上治久 同教授、小松研一 北野病院医師らの研究グループは、物質-細胞統合システム拠点(iCeMS=アイセムス)、埼玉医科大学ゲノム医学研究センター、アイロムグループ・株式会社IDファーマ、東京都立神経病院と共同で、センダイウイルス(SeV)ベクター(遺伝子の「運び手」)を用いてES細胞/iPS細胞から脊髄運動ニューロンへと分化させる技術を確立しました。

本研究成果は、2017年2月2日に米国の科学誌「Molecular Therapy-Methods&Clinical Development」でオンライン公開されました。

研究者からのコメント

左から、井上教授、今村助教、後藤博士課程学生

今後、幹細胞を用いた神経疾患研究を促進する研究をすすめられればと存じます。

本研究成果のポイント

  • LIM/homeobox protein 3(Lhx3)、Neurogenin 2(Ngn2)、Islet-1(Isl1)という三つの転写因子(DNAに結合し、DNAからRNAへの転写に関わる因子)を搭載したセンダイウイルス(SeV)ベクターを用いて、ES細胞/iPS細胞から脊髄運動ニューロンへ分化させる手法を確立しました。
  • この手法を用いると、iPS細胞では分化開始から2日で脊髄運動ニューロンのマーカーが発現してくることが分かりました。
  • この技術で作製した家族性筋萎縮性側索硬化症(ALS)患者から作ったiPS細胞由来の脊髄運動ニューロンを用いて、ALS脊髄運動ニューロンの特徴の一部を観察しました。

概要

ALSは脊髄運動ニューロンの異常が原因の代表的な疾患の一つで、次第に筋肉が動かなくなり、呼吸筋も障害されるため、発症後数年で人工呼吸器使用が必要になる疾患です。これまでALSについての多くの研究が発表されましたが、病気の鍵となるメカニズムはまだ解明されておらず、満足のいく治療法は確立されていません。近年、ES細胞/iPS細胞を用いた、ALSなどの脊髄運動ニューロン疾患の研究の新たなアプローチが始まっています。

これまでES細胞やiPS細胞から脊髄運動ニューロンを分化させる方法はいくつか報告されてきました。しかし、化合物を用いる既存の方法では多くの培養ステップを経る必要がありました。

そこで本研究グループは、転写因子を搭載したSeVベクターを用いて、ES細胞やiPS細胞を脊髄運動ニューロンへワンステップで簡便に分化させる技術を確立しました。さらに、この技術を用いて作製したALS患者から作ったiPS細胞由来の脊髄運動ニューロンは、病気の特徴の一部を再現しました。この技術は、脊髄運動ニューロン作製を簡便にし、疾患モデル研究の有用な手段となると考えられます。

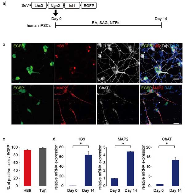
図:SeVベクターを用いた転写因子導入による脊髄運動ニューロン作製

(a)実験の概要図。(b)免疫染色した脊髄運動ニューロンマーカー(HB9、ChAT)とニューロンマーカー(Tuj1、MAP2)。スケールバーは20μm。(c)SeVベクターが導入された細胞における脊髄運動ニューロン、ニューロンの分化効率。(d)分化開始後、Day 0とDay 14における脊髄運動ニューロンマーカー(HB9、ChAT)とニューロンマーカー(MAP2)のmRNA発現解析

詳しい研究内容について

書誌情報

【DOI】 http://doi.org/10.1016/j.omtm.2016.12.007

【KURENAIアクセスURL】 http://hdl.handle.net/2433/217986

Kazuya Goto, Keiko Imamura, Kenichi Komatsu, Kohnosuke Mitani, Kazuhiro Aiba, Norio Nakatsuji, Makoto Inoue, Akihiro Kawata, Hirofumi Yamashita, Ryosuke Takahashi and Haruhisa Inoue. (2017). Simple Derivation of Spinal Motor Neurons from ESCs/iPSCs Using Sendai Virus Vectors. Molecular Therapy: Methods & Clinical Development, Vol. 4, Pages 115–125.