心臓組織シートを、細胞が生きた状態で簡便に積層化する方法の開発

ターゲット
公開日

松尾武彦 医学研究科客員研究員(医学部附属病院心臓血管外科、現・神戸市民中央病院)、山下潤 iPS細胞研究所/再生医科学研究所教授、坂田隆造 元同教授(医学部附属病院心臓血管外科、現・神戸中央市民病院長)、田畑泰彦 再生医科学研究所教授らの研究グループは、ゼラチンハイドロゲル粒子を利用することで、マウスES細胞から作製した心臓組織シートを簡便に積層化する手法を確立し、このシート15枚を積層化し、細胞が生きた状態で厚さ約1mmにすることに成功しました。

本研究成果は2015年11月20日(英国時間)に英国科学誌「Scientific Reports」で公開されました。

研究者からのコメント

左から山下教授、田畑教授、南方謙二 医学部附属病院講師、升本英利 同助教

今後は、ヒトiPS細胞からも同様の積層化シートを形成すること、ブタなどヒトに近い動物モデルを含め有効性や安全性を確認することなどを行い、近い将来、積層化したヒト心臓組織シートを製品化し、重症心不全治療に広く用いることを目標としています。

本研究成果のポイント

  • マウスES細胞から作製した心臓組織シートを、ゼラチンハイドロゲル粒子を挟み込みながら、簡便にかつ細胞が生きたまま積層化する手法を開発した。
  • 積層化した心臓組織シート5枚を心筋梗塞モデルラットに移植すると、3ヶ月後には、血管形成を伴った厚い心臓組織として生着していた。

概要

重症心不全の患者さんの心臓では、拍動の源である心筋細胞が失われているだけでなく、心臓を構成している多様な細胞(血管を構成する細胞など)が失われることにより組織構造が壊れ、その結果として機能低下を来すことから、細胞の移植効果を高めるには、心筋細胞だけでなくその他の心臓を構成する細胞も十分に補い、心臓組織構造として再構築することが望ましいと考えられます。この点で、iPS細胞は、大量に増殖させた上で多様な心臓を構成する細胞群を効率的に分化誘導し、十分量供給できる可能性があります。

そこで、本研究グループは、ゼラチンハイドロゲル粒子を利用することで、細胞シートを簡便に多数積層化する手法を確立しました。マウスES細胞から作製した心筋・血管などを含む心臓組織シートをゼラチンハイドロゲル粒子を挿み込みながら15枚積層化し、厚さ約1mmにすることに成功しました。また、ラット心筋梗塞モデルラットに、積層化したシート5枚を移植すると、移植後3ヶ月という長期に渡り生着し、血管形成を伴った厚い心臓組織として生着していました。長期に渡り機械的に心臓収縮をサポートし、重症の心不全を治療できる方法開発につながる成果です。他の臓器にも幅広く応用可能で、再生医療に大きく貢献しうると考えられます。

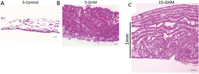
培養一週間後の心臓組織シートの組織切片

心臓組織シートを一週間培養した後、組織切片にHE染色を施した。
A:単純に心臓組織シートを5枚重ねたもの。細胞が失われボロボロとした構造になり、厚みも薄い。B:心臓組織シートの間にゼラチンハイドロ粒子を挿み込みながら5枚重ねたもの。C:心臓組織シートの間にゼラチンハイドロ粒子を挿み込みながら15枚重ねたもの。いずれも細胞は正常に生き残っており、1mmを超える構造を作ることができている。右下のスケールバー:50μm(A、B)、100μm(C)

詳しい研究内容について

書誌情報

[DOI] http://dx.doi.org/10.1038/srep16842

[KURENAIアクセスURL] http://hdl.handle.net/2433/210505

Takehiko Matsuo, Hidetoshi Masumoto, Shuhei Tajima, Takeshi Ikuno, Shiori Katayama, Kenji Minakata, Tadashi Ikeda, Kohei Yamamizu, Yasuhiko Tabata, Ryuzo Sakata & Jun K. Yamashita
"Efficient long-term survival of cell grafts after myocardial infarction with thick viable cardiac tissue entirely from pluripotent stem cells"
Scientific Reports 5, Article number: 16842 Published online: 20 November 2015

  • 京都新聞(11月21日 30面)、産経新聞(11月21日 26面)、日刊工業新聞(11月21日 16面)、日本経済新聞(11月21日夕刊 8面)、毎日新聞(11月21日 6面)および読売新聞(12月7日 18面)に掲載されました。