ウシ体細胞から全能性を有するiPS細胞株の樹立

ターゲット
公開日

今井裕 農学研究科教授、川口高正 同博士課程3回生(現小野薬品工業研究員)、木村康二 農業・食品産業技術総合研究機構畜産草地研究所主任研究員(現岡山大学環境生命科学研究科准教授)および松山秀一 農業・食品産業技術総合研究機構畜産草地研究所主任研究員らの研究グループは、ウシにおいて生殖系列細胞を含むすべての組織・器官に分化する人工誘導多能性幹(iPS)細胞株の作製に成功しました。

本研究成果は、8月19日午後2時(米国東部時間)に米国科学誌「プロスワン(PLOS ONE)」オンライン速報版に公開されました。

研究者からのコメント

左から今井教授、川口研究員

さまざまな細胞に分化することのできる多能性幹細胞の遺伝情報(遺伝的バックグランド)を次の世代に伝えることのできる幹細胞株は、これまでマウスでしか樹立されていません。マウス以外の哺乳動物種、特に経済的な価値をもつ家畜において、個体を構成するすべての組織に分化するウシ幹細胞が得られたことは、今後、家畜改良、有用遺伝資源および希少種・絶滅危惧種の保全、医学領域へのトランスレーショナルリサーチなどに、この幹細胞株を応用する道が開かれたと考えています。

概要

マウスでは、胚性幹細胞(ES細胞)やiPS細胞から、正常胚とのキメラ形成を介して、生殖系列細胞や組織・器官形成へと細胞分化を誘導し、これら多能性幹細胞の遺伝的バックグランドを次世代に伝えることが可能になっています。しかし、マウス以外の哺乳動物で多能性幹細胞を作製しようとすると、マウスの細胞株とは異なった形態と性質をもつ細胞株が樹立されることが知られていました。マウスにおける多能性幹細胞のように、個体の構築が可能なタイプの細胞はナイーブ型細胞株とよばれ、マウス以外の動物種のプライムド型細胞株と明確に区別されてきました。家畜のように、多能性幹細胞を個体の再構築に利用しようとする場合には、マウスで樹立されているナイーブ型の細胞株が必要になってきます。しかし、1981年のマウスES細胞の樹立以降、家畜におけるナイーブ型細胞株の樹立には成功していませんでした。今回、ウシ羊膜細胞を用いて、Oct3/4、Sox2、KLF4、c-Myc遺伝子(山中因子)を細胞に導入するとともに、その発現を制御できるベクターの利用によってプライムド型のみならず、ナイーブ型のウシiPS細胞株が樹立されました。両者タイプの細胞株は、培養液に加える細胞分化抑制因子とサイトカインの種類を変更することによって、自在に細胞タイプを変えることが可能になりました。

現在、マウスやヒトでは、多能性幹細胞から生殖系列の細胞を経て、精子や卵子などの生殖細胞を誘導することが可能になってきています。将来的には、そのような技術と融合しながら、畜産、遺伝資源保全、医療領域など多様な方面での家畜多能性幹細胞株の応用を進める上で、本研究成果がその糸口となるかもしれません。

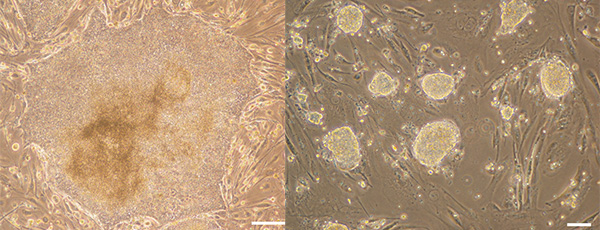
プライムドiPS細胞(左)とナイーブiPS細胞(右)

詳しい研究内容について

書誌情報

[DOI] http://dx.doi.org/10.1371/journal.pone.0135403

[KURENAIアクセスURL] http://hdl.handle.net/2433/199730

Takamasa Kawaguchi, Tomoyuki Tsukiyama, Koji Kimura, Shuichi Matsuyama, Naojiro Minami, Masayasu Yamada, Hiroshi Imai
"Generation of Naïve Bovine Induced Pluripotent Stem Cells Using PiggyBac Transposition of Doxycycline-Inducible Transcription Factors"
PLOS ONE 10(8): e0135403 Published: August 19, 2015

  • 朝日新聞(8月21日 33面)、京都新聞(8月20日 25面)、産経新聞(8月20日 24面)、中日新聞(8月20日 3面)、日刊工業新聞(8月20日 27面)、日本経済新聞(8月20日 38面)、毎日新聞(8月20日 4面)および読売新聞(8月20日夕刊 10面)に掲載されました。