スタチンが軟骨無形成症の病態を回復 -疾患特異的iPS細胞モデルによるドラッグ・リポジショニングの可能性-

ターゲット
公開日

妻木範行 iPS細胞研究所(CiRA)教授、山下晃弘 同研究員らの研究グループは、澤井英明 兵庫医科大学産科婦人科学准教授、池川志郎 理化学研究所 統合生命医科学研究センターチームリーダーらのグループとともに、線維芽細胞増殖因子受容体3型(FGFR3)遺伝子変異による骨系統疾患の疾患特異的iPS細胞モデルおよびマウスモデルにおいて、高コレステロール血症治療薬であるスタチンに骨の成長を回復させる効果があることを見出しました。

本研究成果は、2014年9月17日18時(英国時間)に「Nature」のオンライン版で公開されました。

研究者からのコメント

左から妻木教授、山下研究員

スタチンは高コレステロール血症治療薬として既に臨床で使用されており、安全性や体内動態が臨床レベルで確認されていることから、通常の医薬品開発と比較すると時間とコストを削減して早く安く安全な薬を提供できる、ドラッグ・リポジショニングの可能性があります。

ただし、実際の治療への応用までには、成人の心疾患や脳梗塞の治療・予防として使用されているスタチンを作用機序の異なる小児の疾患に使用できるのか、用量や副作用など安全性・有効性について今後も詳細な検討が必要です。

ポイント

  • 軟骨無形成症(achondroplasia、ACHと略)およびタナトフォリック骨異形成症(thanatophoric dysplasia、TDと略)の患者さん由来iPS細胞(疾患特異的iPS細胞)を樹立し、軟骨細胞に分化誘導したところ、細胞増殖が低下し、疾患の特徴を反映した異常な軟骨形成が見られた。
  • スタチンを投与することで、疾患特異的iPS細胞から分化誘導した軟骨細胞の細胞増殖と軟骨形成が回復した。
  • スタチンは軟骨無形成症モデルマウスにおいて骨を伸長させた。
  • 疾患特異的iPS細胞モデルと疾患マウスモデルの結果を併せて、高コレステロール血症治療薬であるスタチンが本疾患に有効である可能性が示された。

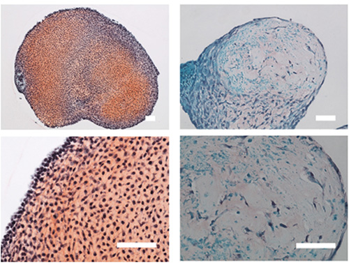
図:タナトフォリック骨異形成症(TD1) 疾患特異的iPS細胞の軟骨誘導結果

軟骨組織の構造体である細胞外マトリックスは赤色に染色される。誘導42日後、TD1-iPS細胞株では軟骨の形成に異常が見られた。

詳しい研究内容について

スタチンが軟骨無形成症の病態を回復 -疾患特異的iPS細胞モデルによるドラッグ・リポジショニングの可能性-

書誌情報

[DOI] http://dx.doi.org/10.1038/nature13775

Akihiro Yamashita, Miho Morioka, Hiromi Kishi, Takeshi Kimura, Yasuhito Yahara, Minoru Okada, Kaori Fujita, Hideaki Sawai, Shiro Ikegawa & Noriyuki Tsumaki
"Statin treatment rescues FGFR3 skeletal dysplasia phenotypes"
Nature Published online 17 September 2014

掲載情報

  • 朝日新聞(9月18日 1面・5面)、京都新聞(9月18日 26面)、産経新聞(9月18日 3面)、中日新聞(9月18日 1面)、日刊工業新聞(9月18日 23面)、日本経済新聞(9月18日 42面)、毎日新聞(9月18日 4面)、読売新聞(9月18日 1面)および科学新聞(10月3日 1面)に掲載されました。