The first Japan-made portable CT scanner introduced at Kyoto University Hospital (8 April 2015)

發表日期

As part of its integrated Smart Imaging Circuit (iSIC) initiative, aimed at building intraoperative imaging capabilities to support advanced surgical procedures, Kyoto University Hospital has put a portable, high-resolution intraoperative computed tomography (iCT) scanner into use in its operating rooms, the first such product to have been manufactured in Japan.

Computed tomography (CT) is an essential clinical tool that provides cross-sectional images of the patient's body in a short period of time. The procedure typically requires a large scanning machine, however, that must be installed at a fixed location, resulting in the need for the patient to be brought to the instrument for testing. This limitation applies also to the iCT scanners currently in use at most Japanese hospitals. Medical professionals, especially surgeons, have long felt the need for more convenient ways to take CT images; overseas, efforts to make scanners smaller and portable have been underway for some time, but none of the products developed thus far deliver the levels of utility and image quality demanded by doctors.

The newly installed system consists of Japan's first domestically developed portable iCT scanner and the latest-model surgical navigation system. The scanner is capable of high-resolution imaging, and is compact enough to be hand-carried by an individual. The CT images taken can be instantaneously reconstructed to create accurate 3D representations, which can be used in conjunction with the navigation system to provide detailed guidance. The real-time intraoperative diagnosis enabled by these tools can be extremely effective for ensuring surgical precision and preventing complications.

Kyoto University Hospital aims to utilize this iCT system in combination with next-generation hybrid operating rooms and high-field magnetic resonance imaging (MRI) systems, both of which are already in operation, to ease the burden on patients suffering from difficult-to-treat conditions by helping them maintain and even improve basic functions.

About the newly introduced iCT system

Portable CT scanner

This C-arm X-ray CT scanner, the 3D Accuitomo M from J Morita Mfg Corp, is the first product of its kind to have been developed in Japan. Designed with the goal of offering superb portability and image quality, this device -- unlike conventional, larger models -- can be brought near each surgical site on the patient, which makes it useful under a variety of conditions. It is connected to the server of KU Hospital's picture archiving and communication system (PACS) as well as to the surgical navigation system, so that generated images can be instantly transmitted to surgeons to provide real-time guidance.

Navigation system

The Kick EM surgical navigation system from Brainlab consists of three units to work with three anatomical target areas -- the head, face, and spine and joints. It reconstructs the CT images from the scanner in three-dimensions to visualize the exact location of each lesion and high-risk site. Additionally, the Kick EM has the capability to fuse pre- and intraoperative images into one, providing information that can further contribute to surgical precision. It is also capable of electromagnetic navigation, which supports surgery on particularly complex anatomical sites.

Conditions treatable using the portable iCT system

The portable iCT system supports surgical treatment of the following conditions:

Pituitary adenoma (neurosurgery and otorhinolaryngology)

Pituitary adenoma is a benign tumor that develops in the pituitary gland. It is the third most common type of primary brain tumor. Depending on its size and shape, it is removed by either transsphenoidal surgery, which involves extraction through the nose, or craniotomy. With the former procedure, which relies on an endoscope to reach deep into the nose, it is often difficult to accurately assess the amount of tissue being removed and to evaluate the tumor's surroundings. The portable iCT system can help the surgeon overcome these challenges to take the best approach, contributing to complete tumor removal.

Basilar and spinal lesions (neurosurgery and orthopedics)

Surgical treatment of basilar and spinal lesions requires constant attention to the bone structures involved. The portable iCT system can be extremely useful in this regard: it can help ensure precision in the bone resection and fixation required for the treatment of these conditions by visualizing the lesion and its surrounding structures in real time, as the physician works with a small incision and a limited naked-eye view of the surgical site to minimize the burden on the patient.

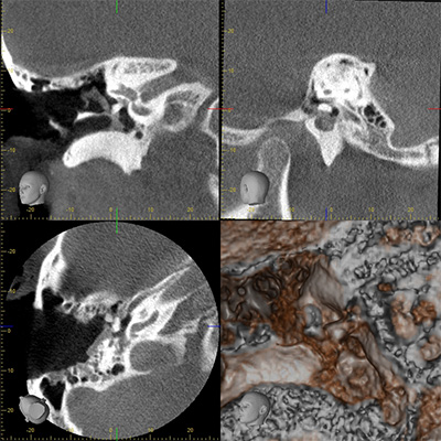
Head and neck tumors and sense organ disorders (otorhinolaryngology)

The areas extending from the facial skull through the neck encompass the mouth, pharynx, larynx, ears, temporal bones, nose, and paranasal sinuses. In the treatment of tumors located in these areas, therefore, every care must be taken to preserve the patient's senses of sound, balance, smell, and taste, as well as abilities to breathe, speak, and swallow. This can be a challenging task, especially when the tumor is deep-seated. The portable iCT system enables the surgeon faced with this challenge to determine the exact scope of the tumor, and, with the navigation system, keep track of the actual tissue being worked on, so that removal can be achieved without causing functional impairment. In the case of functional restoration procedures, such as cochlear implantation and tympanoplasty, the system can help the doctor evaluate the precision of the work and estimate the outcome.

Disorders of bones, joints, hands, and fingers (orthopedics and plastic surgery)

Precision is paramount in the surgical treatment of disorders involving bones, joints, hands, and fingers. Real-time monitoring of surgical sites in these operations can be extremely effective for achieving the desired outcome and preventing complications. The portable iCT system provides detailed real-time anatomical information on each site, enabling complex procedures that are otherwise impossible.

About treatment at Kyoto University Hospital

At KU Hospital, conditions that require specialist treatment, such as malignant tumors, are handled by teams consisting of doctors, nurses, clinical engineers, and radiologists to ensure patient safety.

Portable iCT scanner

CT images of an eardrum during tympanoplasty

CT images of an upper arm and elbow