夏目漱石の坊っちゃんのように、間違った事が大嫌いで義憤に駆られ、損ばかりする行動様式に脳内セロトニンが関与

夏目漱石の坊っちゃんのように、間違った事が大嫌いで義憤に駆られ、損ばかりする行動様式に脳内セロトニンが関与

2012年2月28日

独立行政法人放射線医学総合研究所
京都大学

 高橋英彦 医学研究科准教授(独立行政法人放射線医学総合研究所(以下、放医研)分子イメージング研究センター 分子神経イメージング研究グループ 客員研究員)は、PETを用いて、不公平な扱いを受けた際に私たちの取る行動の個人差には脳内セロトニンが関与していることを世界で初めて明らかにしました。

 今回の研究ではまず、健常者を対象に、最後通牒ゲームという経済ゲームを行い、不公平なお金の分配を提示された時に取る行動の個人差を検討しました。従来は衝動的、敵意の強い性格の人が不公平な提案を拒否し、取引を台無しにしやすいと信じられてきましたが、性格傾向と不公平に対する反応との関係を調べたところ、実際には正直で他人を信頼しやすい平和的な性格ほど、不公平に対して実直に義憤に駆られ、取引を台無しにしてまで、拒否(報復)しよう(一矢報おう)とすることがわかり、正直者は損をするという側面が認められました。次に、その被験者の脳内のセロトニントランスポーターの密度をPET検査で調べた結果、中脳という部位のセロトニントランスポーターの密度が低い人ほど、実直で正直で他人を信頼しやすい性格傾向にあり、その結果、不公平に直面した際に、取引を台無しにしてまで、不公平に対する義憤を実直に拒否(報復)として行動に移す傾向にあることが明らかなりました。これらの成果は、今後、経済的・社会的意思決定における個人差の脳科学的理解を深め、意思決定障害を有する精神・神経疾患への診断や治療へ貢献するものと期待されます。

 本研究は、Proceedings of the National Academy of Sciences of the United States of Americaのオンライン版に2月28日午前5時(日本時間)に掲載されました。

本研究成果のポイント

  • 脳内分子の画像技術と経済ゲームから、不公平に直面した時の反応の個人差を計測
  • 従来は衝動的、敵意の強い性格の人が取引を台無しにしやすいと信じられてきたが、実際には正直で他人を信頼しやすい平和的な性格ほど、不公平に対して実直に義憤に駆られ、取引を台無しにしてまで、拒否行動(報復行動)に出やすい
  • 中脳のセロトニントランスポーターの密度が低い人ほど不公平に対して実直に義憤に駆られ、個人的には得にならない行動に出やすい
  • 経済的・社会的意思決定における個人差の脳科学的理解を深め、意思決定障害を有する精神・神経疾患への診断や治療へ貢献

1.背景

 あなたは混んでいるスーパーのレジで並んでいたら自分の前に割り込みをされました。あるいは、デパートの駐車場に駐車するのに長い列に並んでいたら、前に車が割り込んで来ました。あなたなら、どういう行動を取りますか?不満やストレスを感じない人はいないでしょう。ただ、取る行動は人によって様々です。割り込んだ人や車に口頭やクラクションで苦情や不満を表明する人もいるでしょう。ほんの1分程度、長く待つことになってしまったことに対して、さらに時間をかけて苦情を言ったり、その事でトラブルに巻き込まれたりするのは余計な時間や手間をかけてしまうことになるので、不満を感じても何事も無かったかのように買い物を済ましてしまう人もいるでしょう。この例の背景にある問題は、不公平や不正に直面した時、私たちはどういう行動を取るかという問題で、古くから哲学、心理学、経済学、法学、政治学、生物学など多くの学問領域で扱われてきました。このような問題を検討する経済ゲームに最後通牒ゲームというのがあります。ゲームは提案者と受領者の二人で行われ、提案者はお金の総額(例えば1000円)を自分と受領者とでどのように分配するか自由に提案することができます。500円ずつと半分に公平に分配することも、自分は900円で受領者には100円のみと一方的な不公平な分配の提案もできます。ここで受領者は提案者の提案を受け入れたら、提案通りに二人にお金が分配されます。しかし、受領者が提案を拒否した場合は二人とも受取金額は0円になってしまいます(つまり結果的に受領者は損をすることになります)。伝統的な経済理論では、意思決定者は常に合理的に判断し、最も利益を上げる行動を選択すると想定し、それによれば受領者はどんなに不公平な提案をされても、それを受け入れて少額でも受け取れるような判断をするはずです。しかし、実際には受領者は典型的には300円以下の不公平な提案を受けた時には、もらえる金額が0円になるとわかっていてもその提案を拒否することが観察されます。不公平な提案を拒否する理由は、不正を許せないという憤りであったり、不正をした提案者への報復であったりなどとも考えられています。この不公平な提案をされた時に、必ず拒否をする人から、提案を受け入れて少額でも受け取ることを優先する人まで、取る行動にも個人差があることがわかっていました。

 伝統的な経済理論に反する、一見非合理的に見える意思決定は必ずしも悪いものではなく、こうした非合理な意思決定が社会生活を豊かにしたり、円滑にしたりしている面もあります。しかし、過剰に合理的過ぎると、自分さえ良ければよいという考えにつながりかねません。反対に、非合理の度合いが行き過ぎると精神・神経疾患に認められる意思決定障害につながります。

 そのため、実際の人々の消費行動や市場の動きを計算式からのみではなく、血の通った人々の行動や心理状態を考慮して、私たちの経済行動を研究する行動経済学という領域が発展してきました。

 最近は、行動経済学からさらに進化して、神経経済学という経済的あるいは社会的な意思決定をしている際の脳活動を調べる学問も興隆しています。神経経済学の知見からも、血の通った人間の経済的意思決定は、常に合理的に計算しつくされたものではなく、情動に関わる脳部位が意思決定に重要な役割を担っていることがわかってきました。しかし、これまでの神経経済学は、fMRIを中心とした脳活動を調べるものにとどまっていました。

 本研究は、放医研の世界最高水準の分子イメージング技術を用いて意思決定にかかわる神経伝達物質である脳内のセロトニンが、不公平に直面した時に私たちの取る行動にどのように関わっているかを調べた世界で最初のものです。また、本研究は、カリフォルニア工科大学、日本医科大学、慶應義塾大学、および早稲田大学との共同研究による成果で、独立行政法人 科学技術振興機構(JST)戦略的創造研究推進事業 さきがけ「脳情報の解読と制御」(研究総括:株式会社 国際電気通信基礎技術研究所 脳情報通信総合研究所長 川人光男)研究領域における研究課題「情動的意思決定における脳内分子メカニズムの解明」および、文部科学省脳科学研究戦略推進プログラム「精神・神経疾患の克服を目指す脳科学研究」の一環として行われたものです。

2.研究手法と成果

 被験者は健常男性20名で、NEO-PI-Rと呼ばれる質問紙による性格検査を受けた後、上記の最後通牒ゲームの受領者として参加しました。最後通牒ゲームでは背景でもふれたように提案者が1000円を受領者とどのように分配するか一方的に提案できます。提案者からの提案を受領者が不公平を感じながらも受け入れれば提案通りにお金が二人に分配されますが、受領者がその提案を拒否すれば、二人とも1円も受け取れません。被験者には最後通牒ゲームの提案者は実験者とは異なる第三者の提案をコンピュータの画面上に表示していると説明しましたが、実際には提案は実験者があらかじめ決めていたものをコンピュータに表示させました。(提案者:受領者)の提案額が、(500:500)(600:400)のものを公平な提案、(700:300)(800:200)(900:100)を不公平な提案とし、公平・不公平な提案をランダムに20回提示しました。

 受けた提案のうち拒否した回数の割合(拒否率)を計算したところ、公平な提案の場合は拒否率は0%から50%まで認められ、その平均は17%でした。一方、不公平な提案の拒否率は25~100%で平均して79%であり、不公平な提案には利得が無くなるとわかっていても拒否する人が増えることが確認されました。

 次に不公平な提案に対しての拒否率の個人差について、性格傾向との関連を検討しました。従来の一般的な考え方ですと、不公平な提案を拒否することは提案者への報復とも考えられており、拒否をする人は衝動性が高く、敵意に満ちた攻撃的な性格だと思われています。しかし、今回、世界で初めて明らかになったことの第一点は、上記のような攻撃的な人ほど、不公平な提案への拒否率が高いという関係は見出されず、反対に、正直であったり、他人を信頼しやすい性格であったりという、一見平和で温厚な性格の人ほど、拒否率が高いということでした(図1)。これは、このような平和的な性格の方が、間違ったことが大嫌いで、義憤に駆られ、個人的には損な行動を取る傾向があるということを意味しています。これを読んで“親譲りの無鉄砲で子供の時から損ばかりしている”の冒頭で始まる夏目漱石の小説、坊っちゃんを連想する人もいるかもしれません。主人公の坊っちゃんは赴任先の上司である教頭の赤シャツ達の非道を目にして義憤に駆られ、赤シャツへの制裁に出て、その結果、辞職してしまいます。坊っちゃんの実直さが彼を駆り立て、損ばかりしているのであり、坊っちゃんが敵意に満ちた粗暴な人間だと思う人はいないと思います。

 次に被験者に、脳内のセロトニントランスポーターの密度を検討できる[11C]DASBという薬剤を用いてPET検査を受けてもらいました。不公平な提案の拒否率とセロトニントランスポーターの密度との関係を調べたところ、背側縫線核を含む中脳のセロトニントランスポーターの密度が低い人ほど、実直で正直で他人を信頼しやすい性格傾向にあり(図2)、かつ、不公平な提案の拒否率が高いことがわかりました(図3、 4)。つまり、中脳のセロトニントランスポーターの密度が低い人は、坊っちゃんのような実直な性格で、その結果、不公平な提案をされた時に、義憤に駆られ、自分の利得を台無しにしてまで、拒否行動(報復行動)に出る傾向があることが示されました。

3.今後の展開

 今後、これらの成果は、今後、経済的・社会的意思決定における個人差の脳科学的理解を深め、意思決定障害を有する精神・神経疾患への診断や治療へ貢献するものと期待されます。また、セロトニン以外の神経伝達物質が人間らしい非合理な意思決定にどのようにかかわっているか明らかにし、人間らしい意思決定の分子レベルのメカ二ズム解明および、精神・神経疾患の意思決定障害の理解を深めることを目指します。

4.参考図

   

  1. 図1 実直な性格傾向と不公平な提案に対する拒否率との関係。性格検査(NEO-PI-R)によって評価された実直な性格傾向の指数が高い人(実直な性格傾向が強い人)ほど、不公平な提案をされた時に、拒否行為(報復行為)に出る割合が高い。

   

  1. 図2 中脳におけるセロトニントランスポーターの密度と実直な性格傾向との関係。中脳におけるセロトニントランスポーターが低い人ほど、実直な性格傾向が強い。

   

  1. 図3 中脳におけるセロトニントランスポーターの密度と不公平な提案に対する拒否率との関係。中脳におけるセロトニントランスポーターが低い人ほど、不公平な提案をされた時に、拒否行為(報復行為)に出る割合が高い。

   

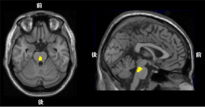
  1. 図4 図3の関係が認められた背側縫線核を含む中脳部分(黄色)。

関連リンク

  • 論文は以下に掲載されております。
    http://dx.doi.org/10.1073/pnas.1118687109
  • 以下は論文の書誌情報です。
    Takahashi H, Takano H, Camerer CF, Ideno T, Okubo S, Matsui H, Tamari Y, Takemura K, Arakawa R, Kodaka F, Yamada M, Eguchi Y, Murai T, Okubo Y, Kato M, Ito H, Suhara T.
    Honesty mediates the relationship between serotonin and reaction to unfairness. Proc Natl Acad Sci U S A. 2012 Feb 27.

 

  • 朝日新聞(3月26日 19面)、京都新聞(2月28日 24面)および日刊工業新聞(2月28日 31面)に掲載されました。