2011年6月9日
前川桃子助教(ウイルス研究所/iPS細胞研究所/科学技術振興機構(JST)山中iPS細胞特別プロジェクト)と山中伸弥教授(物質-細胞統合システム拠点/iPS細胞研究所/JST山中iPS細胞特別プロジェクト)の研究グループと、五島直樹主任研究員(産業技術総合研究所バイオメディシナル情報研究センター/独立行政法人新エネルギー・産業技術統合開発機構(NEDO)iPS細胞等幹細胞産業応用促進基盤技術開発)の研究グループとの共同研究が英国科学誌「Nature」6月9日号に掲載されました。
研究の概要
従来はiPS細胞(人工多能性幹細胞)を作製するために4つの転写因子(Oct3/4, Sox2, Klf4, c-Myc)を皮膚の細胞に導入していましたが、c-Mycによる腫瘍発生が懸念されていました。また、c-Mycなしでの誘導では、作製効率が低いこともあり、安全なiPS細胞を効率よく誘導する方法の開発が望まれていました。
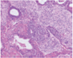
本研究では、iPS細胞誘導に関わる複数の新規因子を探し出し、そのうちのひとつ、卵細胞で強く発現するGlis1を3因子(Oct3/4, Sox2, Klf4)と一緒に、マウスまたはヒトの皮膚の細胞へ導入したところ、いずれの場合もiPS細胞の樹立効率が顕著に改善できました。さらに、Glis1は初期化が不完全な細胞の増殖を抑制し、完全に初期化した細胞のみ増殖することを明らかにしました。Glis1と3因子(Oct3/4, Sox2, Klf4)で誘導したiPS細胞は、3種類の胚葉からなる奇形腫を形成し(図1)、多能性があることを示しました。さらに、iPS細胞由来のキメラマウスから全身がiPS細胞からできたマウスが生まれたことで(図2)、iPS細胞が体細胞だけでなく生殖細胞へ分化する能力を持つことが確認できました。またGlis1を用いて樹立したiPS細胞由来のキメラマウスでは、c-Mycを用いて作製された場合のような顕著な腫瘍発生や短命化はみられませんでした。一方、Glis1の機能を解析し、iPS細胞ができるときに、初期化が不完全な細胞でGlis1が働き続け、増殖を抑えることを明らかにしました。つまり、増殖している細胞は完全に初期化された細胞と言えます。
これらの結果は、Glis1を用いることにより、安全性の高いiPS細胞を効率よく作製できる可能性を示しており、臨床応用に使用可能なiPS細胞作製方法の確立に大きく貢献することが期待されます。
![]() 神経細胞 | ![]() 平滑筋 | ![]() 円柱上皮 | 図1:Oct3/4, Sox2, Klf4, Glis1を導入して作製されたiPS細胞由来の奇形腫(マウス) 3種類の胚葉を確認できたので、多能性を持つことを示せた。 |
![]() | 図2:Oct3/4, Sox2, Klf4, Glis1を用いて樹立されたiPS細胞由来のキメラマウス(左)とその子供(右) キメラマウスでは茶色白のまだら模様であったのが(左)、その子供では全身が茶色の体毛になり(右)、iPS細胞が生殖細胞へ分化したことを明らかにできた。 |
用語解説
iPS細胞
人工多能性幹細胞(iPS細胞:induced pluripotent stem cell)のこと。皮膚など細胞に特定因子を導入して作製する。胚性幹細胞(ES細胞)のように無限に増え続ける能力と体のあらゆる組織細胞に分化する能力を有する多能性幹細胞である。
転写因子
たんぱく質は、核内のDNA上の遺伝子を鋳型にしてメッセンジャーRNA(mRNA)が転写され、このmRNAが核外のリボソーム上で翻訳される過程で成り立っている。転写因子は、転写を制御する因子で、DNAに結合して働くものや因子間の相互作用によって機能するものがある。
3種類の胚葉
受精卵は細胞分裂をして成長していく過程で内胚葉、中胚葉、外胚葉に分化する。内胚葉は、その後消化器官や呼吸器官を形成する。中胚葉は骨、心筋、赤血球などに分化する。外胚葉は、神経や感覚器官を形成する。
奇形腫
ES細胞やiPS細胞を免疫不全マウスの皮下などに注射すると、腫瘍を形成する。この腫瘍はテラトーマと呼ばれ、様々な種類の組織が混在している。テラトーマを観察し、様々な組織に分化していることを確認することは、細胞の分化多能性を調べる一般的な方法の一つである。
キメラマウス
二つ以上の異なった遺伝子型の細胞、あるいは異なった種の細胞から作られた1個の個体をキメラという。例えば、ES/iPS細胞を初期胚に移植して作製したマウスのことをキメラマウスと言う。
本研究への支援
本研究プロジェクトは、以下の研究費・制度の支援を受けて行われたものです。
- 独立行政法人科学技術振興機構(JST)「山中iPS細胞特別プロジェクト」
- 独立行政法人新エネルギー・産業技術総合開発機構(NEDO)
「タンパク質機能解析・活用プロジェクト」
「化合物等を活用した生物システム制御基盤技術開発」
「iPS細胞等幹細胞産業応用促進基盤技術開発」 - 文部科学省(MEXT)「再生医療の実現化プロジェクト」
- 内閣府「最先端研究開発支援プログラム(FIRSTプログラム)」
- 独立行政法人医薬基盤研究所(NIBIO)「保健医療分野における基礎研究推進事業」
- 文部科学省、独立行政法人日本学術振興会「科学研究費補助金」
論文情報
- 掲載タイトル
Direct reprogramming of somatic cells is promoted by maternal transcription factor Glis1 - 著者
Momoko Maekawa (1,2), Kei Yamaguchi (3), Tomonori Nakamura (1,4), Ran Shibukawa (1,2), Ikumi Kodanaka (1,2), Tomoko Ichisaka (1, 4), Yoshifumi Kawamura (3), Hiromo Mochizuki (3), Naoki Goshima (5), and Shinya Yamanaka (1,2,4,6) - 著者の所属機関
1)京都大学iPS細胞研究所(CiRA)
2)JST山中iPS細胞特別プロジェクト
3)バイオ産業情報化コンソーシアム
4)京都大学物質-細胞統合システム拠点(iCeMS)
5)産業技術総合研究所バイオメディシナル情報研究センター
6)グラッドストーン研究所、サンフランシスコ
関連リンク
- 論文は以下に掲載されております。
http://dx.doi.org/10.1038/nature10106
http://hdl.handle.net/2433/141930 (京都大学学術情報リポジトリ(KURENAI))
- 朝日新聞(6月9日 1面)、京都新聞(6月9日 26面)、産経新聞(6月9日 24面)、中日新聞(6月9日 3面)、日刊工業新聞(6月9日 21面)、日本経済新聞(6月9日 1面)、毎日新聞(6月9日 2面)、読売新聞(6月9日 1面)および科学新聞(6月17日 1面)に掲載されました。



