2008年10月10日

左から、中川 誠人 助教、山中 伸弥 教授、藤井 信孝 理事、
大西 珠枝 理事
京都大学(総長 松本 紘)は、ウイルスベクター用いずに人工多能性幹細胞(iPS細胞)の樹立に成功しました。
iPS細胞は、2006年、山中 伸弥教授(物質−細胞統合システム拠点iPS細胞研究センター/再生医科学研究所)らの研究グループが、マウス線維芽細胞に4因子(Oct3/4、Sox2、c-Myc、Klf4)を、それぞれレトロウイルスベクターで導入することで世界に先駆けて樹立しました。同様にして、2007年にヒトiPS細胞も樹立しております。iPS細胞は胚性幹細胞(ES細胞)に似た形態、遺伝子発現様式をもち、また、高い増殖能とさまざまな細胞へと分化できる多能性もES細胞に匹敵します。採取に差し支えない組織の細胞から樹立できるiPS細胞は、ES細胞の抱える倫理的問題や移植後免疫拒絶を回避し、細胞移植治療への応用が期待されております。
しかし、4因子をレトロウイルスベクターで導入したiPS細胞に由来するキメラマウスで腫瘍形成がみられ、その原因はゲノムに導入されたc-Mycレトロウイルスの再活性化と考えられました。またウイルスベクターは実験のたびに厳密に管理された実験室で作製する必要があり、iPS細胞技術を普及する上で障害となっています。これらの問題を解決するために、本研究グループは、樹立方法を改良し、c-Mycを除いた3因子でのiPS細胞を作製し、腫瘍形成リスクを大きく低下させることができました。しかし、依然としてc-Myc3以外の3因子のレトロウイルスはゲノムに挿入されており、挿入部位近傍の遺伝子発現に変化をもたらして、腫瘍形成を起こす可能性がありました。iPS細胞の技術を着実に細胞移植治療に応用するためには、抜本的改良を行い、ウイルスベクターを用いずにiPS細胞を樹立する方法を検討する必要がありました。
研究グループは、今回、マウス胎仔線維芽細胞に、3因子(Oct3/4、Klf4 、Sox2)をこの順で搭載したプラスミドとc-Mycのみを搭載したプラスミドを導入し、iPS細胞を樹立しました。この方法で誘導されたiPS細胞は従来通りの分化多能性を持ち、また、ゲノムを調べたところ、今回外来遺伝子の挿入は認められませんでした。この研究成果は、iPS細胞の誘導には、ゲノムへの遺伝子挿入は必要なく、体細胞における多能性誘導因子の一過的発現で十分であることを示すとともに、この樹立方法は、ウイルスベクターを用いず、脊髄損傷や若年型糖尿病などの難治性疾患に対する細胞移植治療へ応用する上で理想的な細胞を提供するものと期待されます。
同研究は、JST戦略的創造研究推進事業チーム型研究(CREST)の「免疫難病・感染症等の先進医療技術」研究領域(研究総括:岸本 忠三 大阪大学大学院生命機能研究科 教授)における研究課題「真に臨床応用できる多能性幹細胞の樹立」(研究代表者:山中伸弥 京都大学物質−細胞統合システム拠点iPS細胞研究センター/再生医科学研究所 教授)、JST戦略的創造研究推進事業「山中iPS細胞特別プロジェクト」、およびNIBIOの「保健医療分野における基礎研究推進事業」における研究課題「人工万能幹細胞の創薬および再生医療への応用」(総括研究代表者 山中伸弥 同上)の一環として、山中伸弥(同上)や沖田圭介(京都大学物質−細胞統合システム拠点iPS細胞研究センター 助教)らによって行いました。今回の研究成果は、2008年10月9日正午(米国東部時間)に米国科学雑誌「Science」のオンライン速報版で発表されました。
研究成果の概要
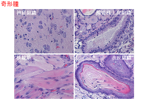
現在、世界的に様々な方法によってiPS細胞の樹立が進められておりますが、ゲノムに外来遺伝子の挿入がない遺伝子導入方法としてアデノウイルスベクターがあり、9月25日号のScience誌でハーバード大学のグループによりアデノウイルスベクターを用いたiPS細胞作製の報告がありました。今回、研究チームは、外来遺伝子のゲノム挿入を回避し、再生医療に真に応用できるiPS細胞を樹立するため、ウイルスベクターとは異なる、プラスミドを用いたiPS細胞の樹立に成功しました。即ち、Oct3/4、Sox2、Klf4 を全て、単一の2Aプラスミドに搭載し、その搭載順および遺伝子導入タイミングの詳細な検討の結果、Oct3/4、Klf4 、Sox2の順番で搭載した2Aプラスミドとc-Mycのみを搭載した2Aプラスミド(図1)を同時にマウス胎仔線維芽細胞に導入、一過的にこれらの因子をそれぞれ細胞内に一定レベル発現させることで、ウイルスベクターを用いることなくiPS細胞を樹立しました。プラスミドを用いて樹立されたiPS細胞は、今回調べたところでは、外来から導入した遺伝子はゲノムに挿入されておりませんでした。この方法で誘導されたiPS細胞は従来のiPS細胞と同様に、腸管様上皮、表皮、横紋筋、神経組織など、様々な細胞へと分化することができました(図2)。
![]() | ![]() |
| 図1.2Aプラスミド設計図 単一の2AプラスミドにOct3/4、Klf4 、Sox2の順番で搭載。細胞に導入されたこのプラスミドから、3因子が切り離されたタンパク質として発現する。c-Mycは単独で同プラスミドに搭載。 | |

図2.プラスミドで樹立したiPS細胞の多能性
神経組織(左上)、腸管様上皮組織(右上)、横紋筋(左下)、表皮組織(右下)、などに分化することが示された。
今後の展開
今回の成果により、ウイルスベクターを用いなくてもマウスiPS細胞の樹立ができることが分かりました。プラスミドで導入した外来遺伝子は、今回の解析では、ゲノムに挿入されていなかったため、今後、細胞移植治療に用いる理想的な細胞の創出へ向けた大きな前進であると考えております。しかし、この方法のiPS細胞樹立効率は、レトロウイルスの場合よりも低いため、今後、樹立効率向上をめざすとともに、成体マウスやヒト体細胞でも検討し、細胞移植治療への応用に向けたiPS細胞樹立方法の標準化を鋭意、進めていきます。
論文名
「Generation of Mouse Induced Pluripotent Stem Cell Without Viral Vector」
(ウイルスベクターを用いないマウス人工多能性幹細胞の樹立)
K. Okita, M. Nakagawa, H. Hyenjong, T. Ichisaka and S. Yamanaka
本研究の支援状況等
JST戦略的創造研究推進事業 チーム型研究(CREST)
研究領域:「免疫難病・感染症等の先進医療技術」
(研究総括:岸本 忠三 大阪大学大学院生命機能研究科 教授)
研究課題名:「真に臨床応用できる多能性幹細胞の樹立」
研究代表者:山中 伸弥(京都大学 物質−細胞統合システム拠点iPS細胞研究センター/再生医科学研究所 教授)
研究期間:平成15年10月~平成21年3月
JST戦略的創造研究推進事業
山中iPS細胞特別プロジェクト
研究総括:山中 伸弥 同上
研究期間:平成20年4月~平成25年3月
NIBIO「保健医療分野における基礎研究推進事業」
研究課題: 人工万能幹細胞の創薬および再生医療への応用
総括研究代表者: 山中 伸弥 同上
研究期間: 平成19年1月~平成23年3月
- 朝日新聞(10月10日 1面)、科学新聞(10月17日 4面)、京都新聞(10月10日 1面・3面)、産経新聞(10月10日 1面)、中日新聞(10月13日 1面 )、日本経済新聞(10月10日 1面・38面)、日刊工業新聞(10月10日 1面)、毎日新聞(10月10日 1面・3面)および読売新聞(10月10日 1面・2面)に掲載されました。

