KU Hospital begins clinical trials of HGF in treatment of vocal fold scarring (18 November 2014)

Published on

Kyoto University Hospital's Department of Otolaryngology, which has long been engaged in research on regenerative treatment of vocal cord disorders, has recently begun clinical trials of a new drug for treatment of vocal fold scarring. A joint project with the Foundation for Biomedical Research and Innovation (FBRI), at the core of the Kobe Biomedical Innovation Cluster (KBIC), this exploratory study aims to evaluate the safety and efficacy of KP-100L -- a recombinant version of the human hepatocyte growth factor (HGF) -- in vocal cord treatments. Utmost care is being taken to ensure patient safety in this unprecedented procedure, which applies HGF to human vocal cords for the first time. A total of 18 patients are scheduled to receive this treatment over the course of the trial.

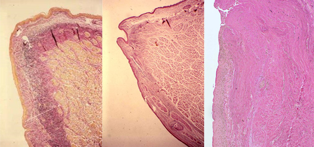
The vocal cord in three stages: from left, healthy, afflicted with sulcus vocalis, and scarred

Keywords

Vocal fold scarring

The vocal cords can become inflamed with overuse, and the membranes of an inflamed vocal cord can become injured when exposed to cigarette smoke, alcohol, or gastric acid. Left untreated, those damaged membranes can become stiff and less able to vibrate, resulting in a weak and hoarse voice, or -- in severe cases -- even loss of speech. This condition, called vocal fold scarring, is relatively common among singers, actors, teachers, and others who are at constant risk of overusing their vocal folds, and may lead to communication difficulties or an inability to continue their line of work. There is currently no established treatment for this disorder, even as intense efforts are underway to find a cure.

Hepatocyte growth factor (HGF)

A type of protein present in the body, HGF was originally identified as a factor in liver cell growth and liver regeneration, and has subsequently been recognized to have potent anti-fibrotic properties, as well as playing a role in the protection and regeneration of various other tissues and organs. Its therapeutic efficacy has already been demonstrated in animal experiments.

Related departments & centers